Maitriser les grands principes de la chirurgie, placer ses incisions de manière à favoriser une bonne cicatrisation si possible de première intention avec une fermeture sans tension, avoir à son arc un panel de sutures permettant de répondre à toutes les contraintes que nous imposeront les différents traitements que nous mettrons en place pour nos patients.
Macro-chirurgie ou micro-chirurgie ?
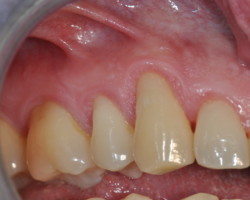
Macrochirurgie
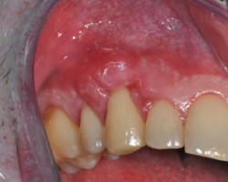
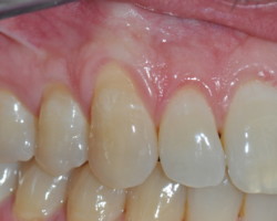
Microchirurgie
L’utilisation d’aides optiques et d’instrumentations de tailles adaptées jouent également un rôle important.









