Etiologie
S’il n’existe toujours pas de consensus absolu sur l’étiologie ou les étiologies des maladies péri-implantaires, il est certain que les bactéries jouent un rôle important dans le développement des maladies péri-implantaires.
D’autres auteurs parlent de non ostéo-intégration, de rejet d’un corps étranger par l’organisme, ou encore de contamination de l’implant avant sa mise en place…
Beaucoup d’études contradictoires, encore beaucoup d’incertitudes mais l’on peut néanmoins retenir qu’une étude expérimentale sur cochon a montré le risque accru de péri-implantite X14 avec une très mauvaise hygiène et X4 avec une mauvaise hygiène.
Le séquençage des espèces en 2013 (Da Silva) a montré que la flore péri-implantaire et la flore parodontale ne sont pas les mêmes malgré quelques similitudes. D’autres études tendent à affirmer le contraire.
Le risque chez les édentés totaux = risque chez les édentés partiels, notion de terrain prédisposant à la péri-implantite.
Prévention
Hygiène
Prévenir la péri-implantite, c’est déjà mettre nos patients dans des situations favorables prothétiques afin qu’ils puissent assurer une hygiène efficace.
Pathologies systémiques et facteurs environnementaux
Patients diabétiques et avec maladies cardio-vasculaires ont un risque accru de développer des maladies péri-implantaires (Ferreira 2006, Renvert 2014).
Le tabac est un risque X2 , l’alcool augmente les destructions osseuses (Gallindo 2015)
Prothétiques
Donner au patient la possibilité d’assurer une hygiène efficace.
Ciment
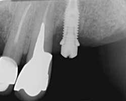
Il représente un risque X3,6 de péri-implantite (Dalago 2016), un débordement provoquera systématiquement une mucosite et finira en péri-implantite s’il n’est pas éliminé.
Pour Korch et coll (2014), une « mucosite/péri-implantite sur deux est en rapport avec un excès de ciment.

Source : Korch et Coll
Conditions muqueuses
Nécessité d’avoir un bandeau de gencive kératinisée de 2mm minimum pour pouvoir assurer une hygiène correcte et une stabilité des tissus mous péri-implantaire (Lin et al 2013).
Choix du système implantaire
Il est très fréquent que l’on entende : « tel système est meilleur qu’un autre », ah, oui, tu as des péri-implantites, pas étonnant avec cet implant ou cet état de surface…
En réalité, aujourd’hui, la plupart des implants (si on reste dans des systèmes éprouvés) présentent d’excellentes caractéristiques pour l’ostéo-intégration. La différence si elle ne me paraît pas majeur dans la prévention de la péri-implantite a néanmoins un rôle que nous allons essayer de décrire.
Quel système choisir ? Vaste question…
La forme de l’implant
Je ne parlerai pas ici des faibles variations de forme permettant plus ou moins une stabilité primaire améliorée, ou pour des raisons de brevet, mais plutôt de certains autres types d’implants qui en cas de péri-implantite peuvent être responsables de dégâts dramatiques limitant une future ré-intervention.
État de surface
Lisse ou rugueux ?
Un état de surface rugueux présente un meilleur taux d’ostéo-intégration qu’avec une surface lisse. Cependant en cas de péri-implantite, il est plus aisé de traiter un état de surface lisse que rugueux.
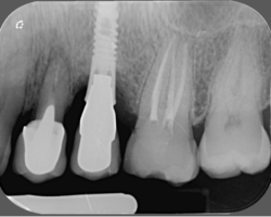
Connexion interne ou externe
Là encore, aucune étude n’a pu montrer de relations directes entre le type de connexion et le développement d’une péri-implantite cependant, les études ont montré une meilleure stabilité des connections internes et notamment des connexions pseudo cône morse limitant la perméabilité du micro-joint et donc le risque de développer une contamination au niveau du site osseux.
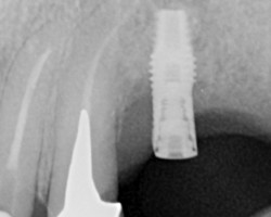
Bone level or Tissue level
S’il est vrai, que pour des raisons de contamination bactérienne, notamment au niveau des micro joints des implants, il est conseillé de mettre ce micro-joint à l’extérieur du niveau osseux, et que le fait d’avoir un col lisse qui place ce micro-joint au-dessus des tissus, l’adhésion des tissus à la surface titane de l’implant est très bonne.
Cependant, on aperçoit également des péri-implantites sur des tissues levels…
Tous ces critères nous renseignent sur un cahier des charges du choix de notre système implantaire et j’irai au-delà de l’implant dans le système ou des implants…
On privilégiera donc un implant avec une connexion interne pseudo cône morse, plutôt rugueux (modéré) pour améliorer l’ostéointégration et avec un col lisse plus ou moins important pour la stabilité des tissus et positionner le micro-joint en dehors de l’os.
Mais il n’existe pas de système anti-péri-implantite comme on voudrait parfois nous le faire croire.
Favoriser l’hygiène efficace de nos patients permettra une bien meilleure prévention que de chercher un système capable d’endiguer la péri-implantite.
Traitement de la mucosite
Phase étiologique : Débridement aux ultrasons plastiques autour de la surface implantaire + utilisation de l’aéropolisseur en complément avec la buse pério-easy, prescription bdb à la chlorhexidine pendant 10 jours + brossettes
Phase correctrice : redonner les conditions nécessaires au bon maintien de l’hygiène bucco-dentaire (prothétique et/ou chirurgicale).
Phase de maintenance : contrôler à 15 jours, puis 1 mois, 3 mois et tous les 6 mois par la suite en fonction du risque individu
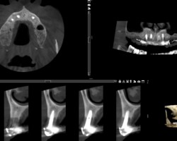
Traitement de la péri-implantite
- Phase étiologique : Contrôler l’infection. Décontamination de la surface implantaire au moyen de l’aéropolisseur avec la buse pério + glycine.
Utilisation des inserts Implant Protect si débordement de ciment ou présence de tartre.
Décontamination à la Bétadine
Mise en place d’un gel antibiotique (Renvert europeen workshop 2008)
- Phase correctrice : créer des conditions compatibles avec la maintenance. (chirurgie résectrice, implantoplastie, correction prothétique)
- Phase réparatrice: Réduire la profondeur de poche et réparer les tissus détruits.
- Phase de maintenance
Dépose de l’implant
Techniques résectrices
Techniques régénératrices
Techniques combinées
Maintenance :

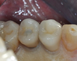
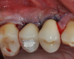
Avant-Après :
Maintenance péri-implantaire

Détartrage des prothèses avec les inserts PerioSoft
Polissage des surfaces avec la buse perio maintenance et poudre perio AIR-N-GO easy
Débridement des spires avec les inserts ImplantProtect et polissage ciblé avec la buse perio et poudre perio AIR-N-GO easy
- Prévention et traitement de la mucosite
- Traitement chirurgical de la péri-implantite
- Maintenance

































